Our selection of the week's biggest research news and features sent directly to your inbox. Enter your email address, confirm you're happy to receive our emails.
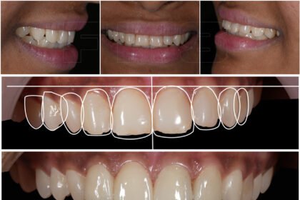
There's a quiet story unfolding in dental clinics across Antalya. Most weeks, the patient sliding into the chair has just…
Skincare has moved far beyond the basics. It is no longer just about cleansing and moisturising. The real shift is…
Healthy habits are easier to maintain when the environment around you encourages balance, structure, and well‑being. Community living offers a…
Women’s health is strongly influenced by the connection between the gut microbiome and hormonal balance. Digestive issues, fatigue, mood swings,…
Height anxiety shows up quietly in everyday moments—standing in school lines, comparing sports teammates, or even flipping through old family…
Choosing a local physiotherapist offers numerous benefits for residents in the Hills District. Local physiotherapists, such as West Pennant Hills…
Sign in to your account